歯がボロボロで悩んでいらっしゃる方へ
むし歯や歯周病が進行し、歯がボロボロになってしまった方は、見た目の問題だけでなく、噛みにくさや話しづらさ、人前で笑えないといった悩みを抱えていらっしゃることが少なくありません。治療をためらっているうちに状態が悪化し、「もう無理かもしれない」と感じている方もいらっしゃるのではないでしょうか。
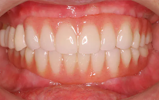
当院では、そうした方にこそ、丁寧な診査と計画的な治療で、機能と見た目を両立したお口の健康を取り戻していただきたいと考えています。まずは痛みや炎症のコントロールを行い、噛める・話せる・笑える状態を目指して、包括的なアプローチを行います。
歯科治療が怖いと感じる方には、リラックスして受けられる静脈内鎮静法にも対応しております。どんな状態でも、決して手遅れではありません。これからの人生を前向きに過ごすために、一歩踏み出してみませんか。
歯がボロボロでお悩みの方は、銀座・渋谷のKU歯科クリニックまでお気軽にご相談ください。
痛みや不安を和らげる静脈内鎮静法に対応
「怖くてずっと歯医者に行けなかった」「治療中の痛みや音を想像するだけで不安になる」──そんな思いから、気づけば歯がボロボロになってしまった方も、どうかご安心ください。
当院では、静脈内鎮静法を取り入れ、ほぼ眠っているような感覚で治療を受けていただける環境を整えています。点滴から鎮静薬をゆっくり投与し、心身ともにリラックスした状態で、治療中の痛みや恐怖心を大きくやわらげます。治療の記憶がほとんど残らないという方も多くいらっしゃいます。
この方法は、インプラント手術や複数の歯の治療、親知らずの抜歯などにも適しており、長時間の処置が必要な方にも最適です。
お忙しい方に最適!短期集中歯科治療
「忙しくて何度も通えない」「遠方からなので回数を減らしたい」──そんな方に向けて、当院では長時間の診療枠を確保した短期集中治療を行っています。
一度の来院でできる限り多くの処置を進めることで、通院回数を最小限に抑えながらも、丁寧かつ質の高い治療を提供します。インプラント治療や重度のむし歯治療、親知らずの同時抜歯などにも対応可能です。
まずは事前カウンセリングでご希望やお口の状態をしっかりと伺い、無理のないスケジュールで治療計画をご提案します。どうぞお気軽にご相談ください。
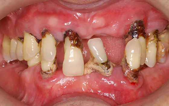
歯がボロボロになる原因
歯周病は歯ぐきの炎症から進行し、最終的に歯を支える骨まで溶かしてしまいます。また、食生活やストレスも影響します。糖分や酸性飲料を過剰に摂取することや、免疫力の低下が原因となり、むし歯や歯周病を悪化させます。さらに、日々の口腔ケアの不足も歯がボロボロになる原因の一つです。
むし歯で歯がボロボロ
むし歯は一度進行し始めると、自然に治ることはありません。初期段階であれば、フッ素塗布や経過観察で進行を止めることもできますが、むし歯が神経にまで達してしまうと、根管治療という神経を取り除く処置が必要になります。さらに症状が悪化すれば、歯の大部分が失われ、最終的には抜歯を検討せざるを得なくなるケースもあります。
多くの患者様が「痛くなるまで放置してしまった」とおっしゃいますが、むし歯は痛みが出る前の段階で発見・対応することがもっとも重要です。違和感やしみる感覚がある場合には、早急な受診をおすすめします。適切な時期に治療を受けることで、歯を残す可能性が大きく広がります。
ボロボロになったむし歯の治療
むし歯が進行してしまった場合でも、できるだけ歯を残すことを前提に治療を進めます。まず大切なのは、感染したむし歯の部分を丁寧に取り除くことです。その上で、残された歯の状態に応じて適切な修復方法を選択します。
むし歯が神経まで達していない場合
神経まで達していないむし歯であれば、感染部位を除去し、詰め物(インレー)やかぶせ物(クラウン)で形態と機能を回復します。1本の歯につき、2〜3回程度の通院で治療が完了するケースがほとんどです。
むし歯が神経まで達している場合
むし歯が神経にまで及んでいる場合には、根管治療が必要です。これは歯の神経を取り除き、内部を清掃・消毒したうえで、薬剤で密封する工程を経て、最終的にクラウンで修復します。通常、1本あたり5回以上の通院が目安になります。
むし歯で歯がほとんど残っていない場合
歯冠部がほとんど失われてしまっている重度のケースでは、残念ながら抜歯が必要になることもあります。抜歯後は、インプラントやブリッジ、入れ歯といった補綴治療によって歯の機能を回復させます。どの方法が最適かは、患者様のご希望やお口の状態、ライフスタイルを考慮した上でご提案いたします。
歯周病で歯がボロボロ
重度の歯周病が進行すると、歯を支える骨が大きく失われ、歯がグラグラと動き、噛む機能や見た目に影響を与えることが多くなります。特に奥歯の根分岐部にまで病変が広がっている場合、保存が難しいと判断されることがあります。
しかし、当院では抜歯を選択する前に、詳細な診断と歯科用CTを使った精密な評価を行い、多くのケースで歯を保存する方法を見つけています。骨再生療法や、拡大視野でのプラーク・歯石除去などの技術を駆使し、高い成功率で治療を進めています。
骨が失われたからといってすぐにインプラントを選ぶのではなく、まずは残せる歯を見極めることが、患者様にとって最良の選択肢であると考えています。
顎の骨が失われている場合
歯周病で顎の骨が大きく失われた場合でも、治療は可能です。歯科用CTで骨の状態を詳しく確認し、必要に応じて骨を再生させる治療(骨造成)を行います。インプラントや入れ歯などの方法も組み合わせながら、見た目と噛む機能の回復を目指します。状態によっては残せる歯があることも多いため、まずはご相談ください。
歯がほとんどない方への治療
インプラント
歯を失ってしまった場合でも、インプラント治療により、しっかり噛める機能と自然な見た目を取り戻すことが可能です。顎の骨に人工歯根(インプラント体)を埋め込み、その上に人工歯を装着することで、まるで自分の歯のような感覚で食事や会話ができます。周囲の健康な歯を削る必要がない点も、大きなメリットです。
ただし、顎の骨の量や質、全身の健康状態によっては、事前の検査や骨造成などが必要となることもあります。当院ではCTによる精密な診査をもとに、無理のない計画と丁寧な治療を行っています。
オールオン4・オールオン6
すべての歯を失ってしまった患者様にも、しっかり噛めて美しく整った口元を取り戻していただける治療法がございます。それがオールオン4・オールオン6です。
この治療法は、片顎に4本または6本のインプラントを埋め込み、その上に連結された人工歯を固定します。手術当日には仮歯を装着することができるため、術後すぐにお食事をしていただくことが可能です。セラミック素材の人工歯を用いることで、見た目も自然で美しく、ご自身の歯のように快適にお過ごしいただけます。
インプラントオーバーデンチャー
「入れ歯が合わずに外れやすい」「違和感が気になる」といったお悩みをお持ちの患者様には、「インプラントオーバーデンチャー」という選択肢もございます。
これは、2〜6本程度のインプラントを顎に埋め込み、その上にアタッチメント(連結装置)を設置し、取り外し可能な入れ歯を安定させる治療法です。従来の入れ歯に比べてしっかりと固定されるため、会話中やお食事中に外れてしまう心配が少なくなります。
部分入れ歯にも総入れ歯にも対応可能で、インプラントの本数を抑えつつ機能性を高めることができる治療法です。「インプラントに興味はあるけれど、手術や費用の負担が気になる」という方にもおすすめです。
インプラントオーバーデンチャーとオールオン4の違い
インプラントを使った入れ歯の治療には、「オールオン4」と「インプラントオーバーデンチャー」の2つの方法があります。それぞれ特徴があり、患者様のライフスタイルやお口の状態によって選ばれています。
インプラントの本数と手術の負担
オールオン4は、片顎に4本のインプラントをしっかり埋め込み、その上に固定式の人工歯を装着します。
一方、インプラントオーバーデンチャーは、下顎の場合は最小2本のインプラントで入れ歯を支えるため、手術の負担が軽くなります。
固定か取り外しかの違い
オールオン4はインプラントに人工歯がネジで固定されているため、ご自身で取り外すことはできません。その分、自然な噛み心地と安定感があり、普段通り食事や会話を楽しめます。インプラントオーバーデンチャーは、入れ歯部分を取り外すことができるタイプです。完全に固定されているわけではないため、多少の動きはありますが、通常の入れ歯よりはずっと快適で安定しています。
総入れ歯
歯がすべて失われた場合に用いられる治療方法です。しっかりと噛めるように、お口の状態に合わせて丁寧に型取りし、装着感や見た目にも配慮して作製します。ただし、粘膜の上にのせる構造のため、ずれや噛みにくさを感じることがあり、食事や会話に支障をきたすケースもあります。インプラントと比べると安定性や噛む力に差があるため、日常生活において不便を感じている方には、インプラントとの併用も視野に入れたご提案を行っています。

